
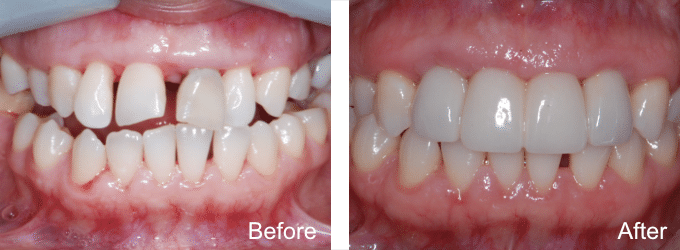
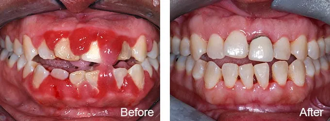
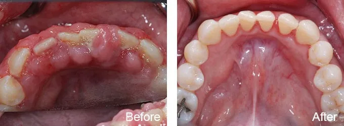
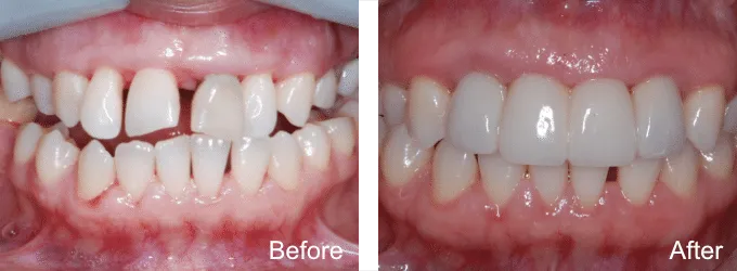
Smile Gallery
Transformations that speak for themselves
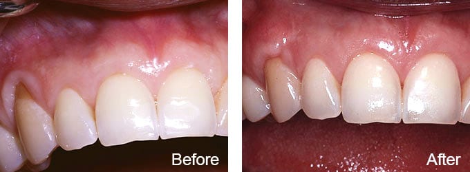
See how personalized treatment and advanced techniques have helped patients regain confidence and achieve the smiles they always wanted.

See how personalized treatment and advanced techniques have helped patients regain confidence and achieve the smiles they always wanted.